I already have a diagnosis of autoimmune hepatitis, but in conjunction I have had (from the beginning) pancytopenia, or low blood count of cells. After a recent liver biopsy, the good news was that my liver damage has not increased, however that left the continued question of what is going on with my blood count if it’s not related to my liver. There is so much conflict in our process of being medical anomalies. I was told by one of my specialist that it is never good to be “interesting” to a doctor, and I, unfortunately have proven to be quite interesting.
Every piece of good news saying I do not have an additional diagnosis immediately leads to an additional question of what, then, can describe my numbers. What’s actually going on in the data? Results are helpful and meaningless all at the same time. Sometimes we defy labels. Rare disease leaves us unlabeled.
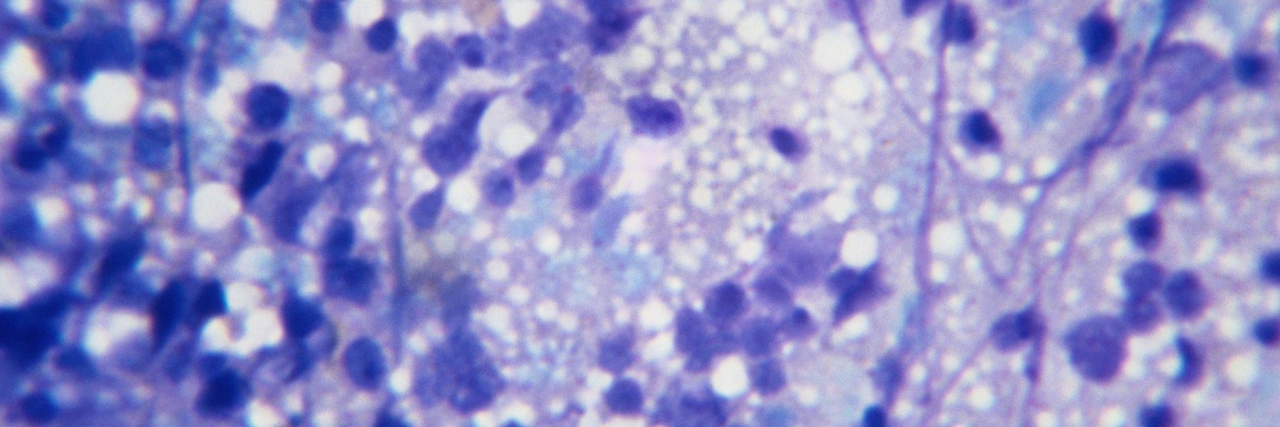
I was told a bone marrow biopsy would be suggested, to see if “something else was going on.” I wrote this piece in response to this recent procedure. I feel better than I have in years, yet my numbers said I needed another biopsy. It is confusing to know where the truth lives, in my experience or in a diagnostic report. There are many versions of pain and relief.
Noun.
Marrow.
The fatty network of connective tissue that fills the cavities of bones.
Marrow.
The most essential or most vital part of some idea or experience.
Bone marrow biopsy
Bore out my vitality in a thread
Cherry red on the petri dish
The pain is excruciating
I don’t want you to see my most essential part
Taking a microscope to look at my essence
One more “first”
Anticipation of pain
A needle to my center
Owwww!
Sucks the heart
Leaves an absence
Deep aching left in the wake
It is a violation.
Perhaps the cavities of my bones will reveal
my pith to be altered
Maybe you will see
That I’m not at my core who you think I am
All pretenses and projections will be blown
The truth will be revealed
Perhaps it will be a relief, I don’t have to act any longer
You’ll see I’m broken, less-than, deformed, mutated, or otherwise not normal
And I’ll have to stop pretending.
Perhaps it will be my next greatest challenge, and I’ll have to show up even more
You’ll see I’m clear, resilient, scaffolded, filled with super-cells ready for action
And I’ll have to stop pretending.
Relief has many forms.
The line between positive and negative degrades to truth
This is more complex than results on paper
Because it is comprised of experience
The results will mean nothing and everything
They tell me and everyone else who I am
Yet say nothing about my hopes, desires and capacity to love.
A life lived anchored in marrow.
I often wonder if I am strong enough for what I want to accomplish in this life.
And now some of that strength will be removed
And then it will grow back fiercer
With renewed vigor
Intensely recommitted to being vital
To living out it’s impact and purpose
Perhaps I should say thank you
Thank you for removing a burdened cross-section
So that resolved vitality can replace it
With one more part of me removed… who am I now?
