Scientists Say They've Discovered a New Organ That Might Explain How Cancer Spreads
Scientists believe they may have discovered a new organ that spans your entire body. It’s not your skin, it’s a new organ called the interstitium, which scientists say may help them understand how cancer spreads.
A new study published in Scientific Reports on Tuesday, suggests that the interstitium is a series of fluid-filled compartments connected and supported by a mesh of collagen and elastin — connective tissue proteins found around the body.
Interstitial space, the spaces between organs, was thought to consist of a dense layer of connective tissues. But now scientists are urging a revision of anatomical concepts of the fascia, dermis, submucosa, and the vascular adventitia, which are all spaces of connective tissue between different organs.
The fluids that make up the interstitium move around easier compared to the dense connective tissue that was previously thought to take up the space between organs. The presence of fluid-filled areas could make it easier for invasive tumors to travel to other parts of the body, or it may create a “highway” of fluid for cancer to use to metastasize. Interstitium also contains lymph, a fluid containing white blood cells, which plays a large role in your body’s immune response.
“This finding has potential to drive dramatic advances in medicine, including the possibility that the direct sampling of interstitial fluid may become a powerful diagnostic tool,” Neil D. Theise, MD, professor in the Department of Pathology at NYU Langone Health and senior co-author of the study, said in a statement.
The study’s researchers said that the interstitium can compress and expand, meaning it might act as a “shock absorber,” protecting other organs, especially organs that move a lot like the heart, lungs and digestive tract after eating.
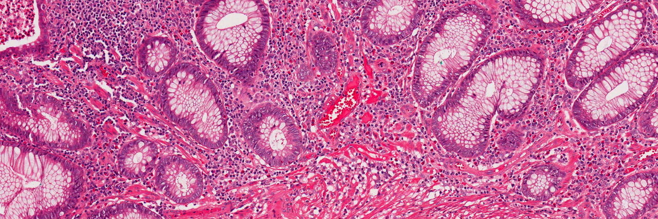
Medical experts rely heavily on “fixed” tissue samples under microscopes to examine specimens. Fixed tissues do not have any fluid, making it easier to see structures, but impossible to detect these compartments because the mesh support these fluid compartments would flatten “like a pancake.”
A newer technology, the probe-based confocal laser endomicroscopy, allows for medical personnel to see live tissues microscopically. The device combines an endoscope, a camera typically snaked down a patient’s throat with a laser to light up tissue. This discovery was found by accident during a patient’s endoscopy looking for cancer in the bile duct.
